欢迎访问北京医疗纠纷律师网
北京医疗纠纷律师网
医学法学双背景医疗纠纷专业律师,看得懂病历的医疗律师!
全国咨询热线:
13683143091
网站首页
关于律师
律师介绍
我们的优势
业务领域
服务流程
新闻资讯
医疗纠纷资讯
案例中心
医疗纠纷案例
医疗鉴定案例
联系我们
在线留言
在线反馈
热门关键词:
医疗纠纷案例
医疗鉴定案例
搜索
案例中心
医疗纠纷案例
医疗鉴定案例
联系我们
座机:13683143091
传真:
手机:13683143091
邮箱:13683143091@139.com
地址:北京市东城区夕照寺街东玖大厦A座1-2层
展开栏目
医疗纠纷案例
张某某等人诉河北衡水某诊所、中心卫生院、县医院手术后感染治疗延误致最终感染性休克去世医疗纠纷赔偿案
乔某某俩人诉北京博爱医院未尽相应注意义务,延误患者脑积水颅内压升高的早诊断及治疗等,患者最终死亡医疗纠纷案例
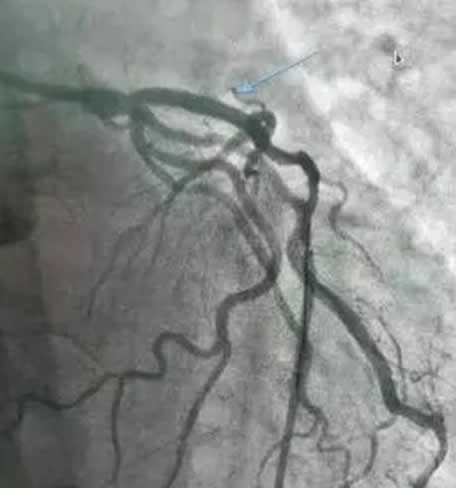
王某诉医学科学院阜外医院(西城区)冠脉造影出现夹层并发症后未履行告知义务,术后并发心梗未请会诊,没有积极履行诊疗职责,最终患者心脏破裂去世医疗纠纷赔偿案
李某等五人诉安徽省颍上县人民医院急性胰腺炎患者死亡案
卜某等三人诉丰台区北京电力医院患者急性胆管炎外科急诊留观、ICU住院死亡医疗纠纷赔偿案,法院否定了鉴定意见,认定电力医院应承担80%的赔偿责任
腰椎管狭窄,腰椎间盘突出,在北京海淀区总医院第一医疗中心腰椎骨科手术神经根损伤左侧足瘫医疗纠纷赔偿案
陈某等五人诉大兴区某医院患者住院死亡未尸检推定医院过错赔偿案
刘某三人诉北京丰台右安门医院烧伤患者死亡医疗纠纷案
师某某使用他人名字住院脊柱裂手术后出现下肢瘫痪小便失禁医疗纠纷案
再发心梗死亡医疗纠纷案例
魏某某等诉海淀区某总医院肝癌超声介入微波消融术后感染性休克死亡医院承担同等责任
妇科早期卵巢癌手术双侧卵巢、输卵管、子宫全切未保留生育能力医疗赔偿案
胃癌化疗骨髓抑制继发感染死亡医疗纠纷案
重症脑干脑炎、支气管肺炎患儿死亡医疗纠纷案例
李某某诉中国中医科学院广安门医院骨科手术后感染致髋关节置换术医疗纠纷赔偿案
冯某某诉北京西城区北京某武医院左基底动脉动静脉畸形团、小脑多发动脉瘤、蛛网膜下腔出血后再发颅内出血致残医疗纠纷案
1
2
末页
ꁸ
回到顶部
ꂅ
13683143091
ꁗ
QQ客服
ꀥ
微信二维码